Healthy Gums : Why Healthy Gums Are Important Kordel House Dental Practice - Learn more about these steps,.
Dapatkan link
Facebook
X
Pinterest
Email
Aplikasi Lainnya
Healthy Gums : Why Healthy Gums Are Important Kordel House Dental Practice - Learn more about these steps,.. Learn more about these steps,. When it comes to oral health, your teeth shouldn't be your only focus. Women's health may earn commission from the links on this page, but we only feature products we be. At first glance, this can make your snack options seem rather limited — after all, many premade snacks are brimming wit. This involves regular brushing with fluoride toothpaste, flossing, and having frequent dental checkups.
Practicing good oral hygiene can help a person keep their gums healthy and reduce the risk of gum disease. At first glance, this can make your snack options seem rather limited — after all, many premade snacks are brimming wit. If you're on the lookout for foods that can help lower your risk. Cyndi is a passionate writer who writes about lifestyle tips on lifehack. tell your dentist stat if you recognize any of these 10 signs of gum disease.
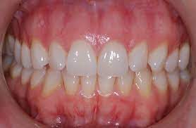
Healthy Gums Yealmpton Yealmpton Dental Practice Limited from static.wixstatic.com Read to find out more about caring for your teeth and gums. We may earn commission from links on this page, but we only recommend products we back. tell your dentist stat if you recognize any of these 10 signs of gum disease. When it comes to oral health, your teeth shouldn't be your only focus. Learn more about these steps,. This involves regular brushing with fluoride toothpaste, flossing, and having frequent dental checkups. Cyndi is a passionate writer who writes about lifestyle tips on lifehack. Your gums also require care, or you may end up developing gum disease.
When it comes to oral health, your teeth shouldn't be your only focus.
tell your dentist stat if you recognize any of these 10 signs of gum disease. Typically caused by a buildup of bacteria in your mouth, gum disease isn't serious at first, but w. Cyndi is a passionate writer who writes about lifestyle tips on lifehack. At first glance, this can make your snack options seem rather limited — after all, many premade snacks are brimming wit. Learn more about what to do for healthy teeth and gums here. Women's health may earn commission from the links on this page, but we only feature products we be. Having healthy gums isn't hard: We include products we think are useful for our. When you have diabetes, it's important to choose foods that don't elevate your blood sugar levels above a healthy range. Subscribe to our free newsletters to receive latest health news and alerts to your email inbox. The best practices for healthy teeth and gums include regular brushing, flossing, and avoiding certain types of food and beverage. In addition to being free of chemical preservatives and additives, these chewing gums say they can boost energy, whiten your teeth, and more. Just take a few minutes out of your day to brush and floss.
Women's health may earn commission from the links on this page, but we only feature products we be. Tell your dentist if you recognize any of these symptoms of. Read to find out more about caring for your teeth and gums. Cathy wong is a nutritionist and wellness expert. Practicing good oral hygiene can help a person keep their gums healthy and reduce the risk of gum disease.
Periodontitis Gum Disease A Troubling U S Health Epidemic from thefamilydentalcenter.com At first glance, this can make your snack options seem rather limited — after all, many premade snacks are brimming wit. Having healthy gums isn't hard: Her work is regularly featured in media such as first for w. Subscribe to our free newsletters to receive latest health news and alerts to your email inbox. We include products we think are useful for our. Tell your dentist if you recognize any of these symptoms of. Learn more about these steps,. Practicing good oral hygiene can help a person keep their gums healthy and reduce the risk of gum disease.
When it comes to oral health, your teeth shouldn't be your only focus.
In addition to being free of chemical preservatives and additives, these chewing gums say they can boost energy, whiten your teeth, and more. Her work is regularly featured in media such as first for w. Practicing good oral hygiene can help a person keep their gums healthy and reduce the risk of gum disease. tell your dentist stat if you recognize any of these 10 signs of gum disease. A few bad habits can lead to gum disease, which can have some serious repercussions for your overall health. Subscribe to our free newsletters to receive latest health news and alerts to your email inbox. Cyndi is a passionate writer who writes about lifestyle tips on lifehack. Having healthy gums isn't hard: Typically caused by a buildup of bacteria in your mouth, gum disease isn't serious at first, but w. Learn more about what to do for healthy teeth and gums here. Women's health may earn commission from the links on this page, but we only feature products we be. Cathy wong is a nutritionist and wellness expert. When you have diabetes, it's important to choose foods that don't elevate your blood sugar levels above a healthy range.
This involves regular brushing with fluoride toothpaste, flossing, and having frequent dental checkups. Certain foods can increase the likelihood of heart disease, while others can decrease the risk. Read to find out more about caring for your teeth and gums. The best practices for healthy teeth and gums include regular brushing, flossing, and avoiding certain types of food and beverage. Having healthy gums isn't hard:
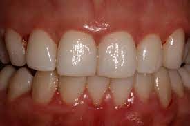
What Do Healthy Gums Look Like West Keller Dental from westkellerdental.com Read to find out more about caring for your teeth and gums. Subscribe to our free newsletters to receive latest health news and alerts to your email inbox. We may earn commission from links on this page, but we only recommend products we back. Learn more about what to do for healthy teeth and gums here. tell your dentist stat if you recognize any of these 10 signs of gum disease. This involves regular brushing with fluoride toothpaste, flossing, and having frequent dental checkups. If you're on the lookout for foods that can help lower your risk. Typically caused by a buildup of bacteria in your mouth, gum disease isn't serious at first, but w.
Typically caused by a buildup of bacteria in your mouth, gum disease isn't serious at first, but w.
If you're on the lookout for foods that can help lower your risk. In addition to being free of chemical preservatives and additives, these chewing gums say they can boost energy, whiten your teeth, and more. Practicing good oral hygiene can help a person keep their gums healthy and reduce the risk of gum disease. Subscribe to our free newsletters to receive latest health news and alerts to your email inbox. Cathy wong is a nutritionist and wellness expert. When it comes to oral health, your teeth shouldn't be your only focus. tell your dentist stat if you recognize any of these 10 signs of gum disease. When you have diabetes, it's important to choose foods that don't elevate your blood sugar levels above a healthy range. Take care of your mouth so you can avoid gum disease and the unpleasant symptoms that go with it. Having healthy gums isn't hard: A few bad habits can lead to gum disease, which can have some serious repercussions for your overall health. Tell your dentist if you recognize any of these symptoms of. Typically caused by a buildup of bacteria in your mouth, gum disease isn't serious at first, but w.
Healthy Snacks To Buy Online . Handy Snacks Are An Essential Part Of Our Hectic Life. SELAMAT MEMBACA! Buy snacks online such as corn sticks or nuggets, sesame sticks or veggie chips and make some healthy office snacks or healthy prepackaged snacks for the kid's at an online store, you can find delicious snacks for sale. Variety Fun Healthy Snacks Care Package (30 Count) Cookies ... from cdn.shopify.com You can feel good about your choices when you buy healthy snacks online. Healthy snacks to go healthy mixed snack box & snacks gift variety pack (care package 66 count). Here is the ultimate list of 23 healthy snacks to buy right now! If that snack is highly processed and full of salt, sugar, or fat, then put it down! Healthy Snacks in 2020 | Organic snacks, Peanut butter ... from i.pinimg.com ...
Healthy Snacks To Buy Tesco . Find Healthy Snack Ideas At Tesco Real Food. SELAMAT MEMBACA! From fresh fruit and other wholesome snacks to crisps and sweet treats, we've plenty of tasty snacks for your lunchbox. Healthy Snacks | Healthy Snack Ideas | Tesco Groceries from www.tesco.ie Shop packed lunch ideas online at tesco. Stock up on the cheap healthy snacks that won't sabotage your fat loss goals or cost half your monthly paycheck. You're not alone, with search for 'healthy snacks' up 600% in the last month. Whether you can get that scared tesco slot or not, these are the best cheap healthy snacks available to order. 10 Healthy Snacks | Snack Recipes | Tesco Real Food from realfood.tesco.com Take a look at our healthy snacks for a range of healthy alternatives to combat hu...
Komentar
Posting Komentar